Orthopedic Surgery

Chrom sequel of acute omhum

Congenital syphilis cystic and clan

Koch's spine clan

Koch's knee arthritis preop xray lat

Broadie's abscess

Chrom sequestrum & sinus

Congenital syphilis cystic xray

Fibrous ankylosis both hips post infection

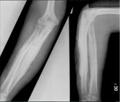
Forearm osteomyelitis

Koch's elbow

Koch's hip-arthritic jt.

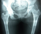
Koch's hip mortar & pestle type

Koch's hip mortar & pestle type xray2

Koch's knee arthritis preop

Koch's knee arthritis preop xray ap

Koch's knee arthritis preop xray lat

Osteomyelitis2

Osteomyelitis3

Radial club hand post infective gap nu

Radial club hand post infective gap nu xray

Sept chip

Sonogram for osteomyelitis
