Skip to content
CIIMS
0712 – 6687777, 0712 – 2236441, 0712 – 2233381
ciimsngp@gmail.com
E-Procurement
Click here For Appointment
CIIMS-ARC
Home
About Us
Departments
Neurology
Paediatric Neurology
Neurosurgery
Internal Medicine & Diabetes
Critical Care & Anesthesia
Imaging Radiology
Radiology, Vascular And Interventional Radiology
General Surgery
Pathology / Biochemistry / Microbiology
Orthopedic Surgery
CT Scan
Department of Cardiology
Physiotherapy / Speech Therapy / Occupational Therapy
Dietetics & Obesity
Social Service
Patient Facilities
OPD Service
Admission Procedure
In Patient Service
Casualty Service
Other Procedure
Hospital Timing
Research
Resume of Reseach Lab Employees
About Research Lab
Research Committee
Facilities
Funded Projects
List of collaborators (Tie ups)
Visits by experts/Interactive visits
List of Publications
Achievements
List Of Conferences
Outsourcing wing
Clinical Diagnostics
List of MOU
Melghat tribal centre
PhD List
Technology transfer wing
Vision
Contact Details
Contact Us
Recruitment
Academic
X
Founder
G.M. Taori
Admin
Faculty Members
Our Management
Blessings
Gallery
Academic
DNB
DrNB superciality
Recruitment
Library
CERTIFICATE OF NABH ACCREDITATION (Click to View)
Orthopedic Surgery
Sports Medicine
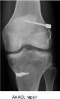
An ACL repair
ACL repair: Lat view
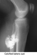
Calcified bakers cyst
MRI image of bakers cyst
Loose bodies in the knee
Ostemyestis
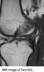
MRI Image of Torn ACL
15th August 2023
15th August 2024
15th August 2025
22nd July 2025 World Brain Day
26th January 2023 Flag Hoisting Ceremony
26th January 2025 Flag Hoisting Ceremony
3rd Floor Intensive Care Unit.on9th Feb 2025.
ABOUT 15TH AUG 2022
ABOUT BLESSING
ABOUT FLAG HOSTING
ABOUT HOSPITAL IMAGES
ABOUT LIGHT MOVEMENTS
About Research Lab
About Us
Academic
Achievements
Admin
ADMISSION PROCEDURE
ADMISSION PROCEDURE
All Department
ANNUAL DAY 2023
Arthritis
Blessing
Blood Donation Camp 22 January 2024
Book Appointment
Breast Cancer
Button
Casualty Services
Celebration of Doctors’ Day
CIIMS Event
Clinical Diagnostics
Clinical Psychology
Contact Details
Contact Us
Critical Care & Anesthesia
CT Scan
Department of Cardiology
Department of Neurology
Department of Neurosurgery
Dietetics & Obesity Clinic
Dietetics Gallery
Disinfectant
Diwali celebration 2022
DNB
dr kartik manoj multani
Dr S K Deshpande
Dr. Avanti Chaudhari
Dr. Deepa Taori
Dr. Dinesh Kabra
Dr. Hemant Thakur
Dr. Lokendra Singh
Dr. Mrs. Divya Mehta
Dr. Mrs. Sanjeevanee S. Kelkar
Dr. Neeraj Baheti
Dr. Nitin Chandak
Dr. NITIN GIRISH RATHI
Dr. Nitin Rathi
Dr. Pankaj Sarda
Dr. Priyanka Ramteke
Dr. S.M. Vyawahare
Dr. Sachin Dhomne
Dr. Sameer Bhisikar
Dr. Shrikaant Kothekar
Dr. Subhangi Muley
Dr. Swati Chavan
Dr. V. S. Agarwal
Dr. Vishal Dabare
Dr.Snehal Ramteke
DrNB superciality
E-procurement
Event: Rangoli compilation
Facilities
Facilities and Equipment Critical Care
Faculty Members
Fire Safety Training was conducted at CIIMS Hospital, Nagpur
Free Community Health Camp For Neurology
funded projects
G.M. Taori
Gallery
General Surgery
Home
Hospital Timing
HR INDUCTION 2022
Imaging Radiology
In Patient Services
Inauguration of CIIMS Advanced Research Centre
inauguration of outdoor games
Inauguration of sample collection Room
Infection
Infection control week
Internal Medicine & Diabetes
Internal Medicine & Diabetes
Internal Medicine & Diabetes Facilities
International Diabetic Day
Library
List of collaborators (Tie ups)
List Of Conferences
List of MOU
Medical Sciences Tennis Ball Cricket Tournament
Medico Legal Department
Melghat tribal centre
Miss. Sayali Kulkarni
Mr. Vijay Chourasia
Mrs. Jayshree Pendharkar
Neurology
Neurosurgery
nishulk upchar
Online Appointment
OPD Services
Orthopedic
Orthopedic Surgery
other procedure
Our Affiliation
Our Empanelment
Our Facilities
Our management
Our services
Our Team
Outsourcing wing
Paediatric
Paediatric Neurology
Paediatric Neurology Dept
Pathology & Biochemistry
Patients Information
PhD List
Physiotherapy
Practice Areas
Psychiatry
Public Relation
Publications
Radiology, Vascular and Interventional Radiology
Radiology, Vascular and Interventional Radiology Facilities
recruitment
Recruitments
Research Activities
Research Activity
Research Activity Neurology
Research Committee
Resume of Reseach Lab Employees
Sample Page
Shri Anil Nevatia
Social Service
Spine
Sports Medicine
Stephen Francis
Technologytransfer wing
tennis ball cricket tournament
Trauma
Tumor /Cysts etc (Video Clips)
Vertigo Lab
Vision
Visits by experts/Interactive visits
Water cooler donated 2022